
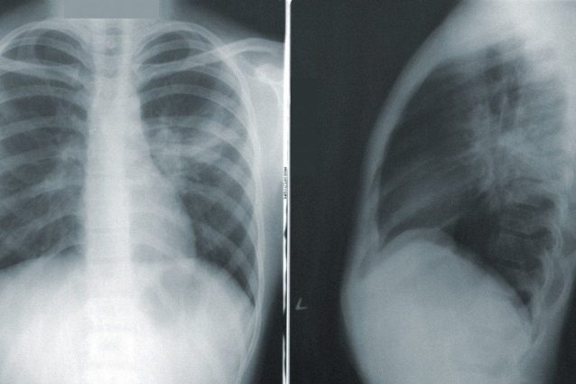
Anche in pazienti asintomatici o con sintomi lievi una radiografia al torace può indirizzare verso una diagnosi di covid-19. Lo ha scoperto un team di ricercatori dell'Irccs Galeazzi e dell'Università Statale di Milano, che ha analizzato il primo focolaio di coronavirus svelato in Italia, quello di Codogno. In 100 lastre su 170 di pazienti della ex "zona rossa" le immagini sono riconducibili a una polmonite interstiziale bilaterale.
Continua a leggere
