
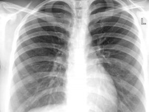
Caso medico più unico che raro riportato dalla National Library of Medicine: una donna, forse per imbarazzo, ha nascosto l'inalazione del preservativo fino a che il verificarsi di pesanti sintomi, in un primo momento erroneamente associati alla tubercolosi, ha fatto emergere la verità.
Continua a leggere
