
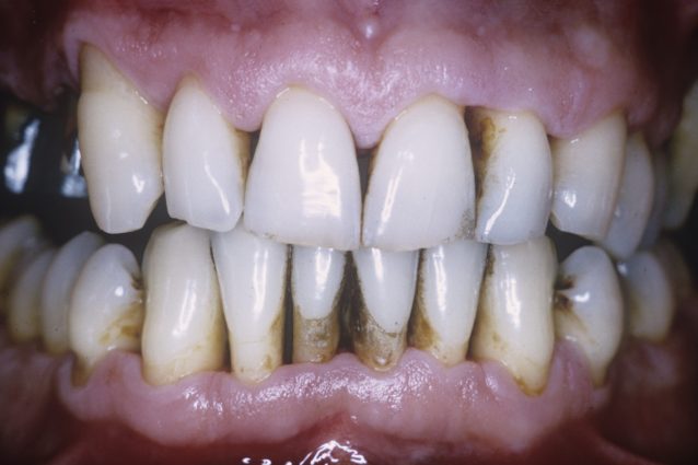
Lo indicano i risultati di un nuovo studio sugli esiti dell’infezione da coronavirus in pazienti che soffrono di parodontite, il disturbo gengivale che comporta infiammazione e sanguinamento delle gengive.
Continua a leggere

Nugnes Benvenuti nel sito dell'informazione
Coordinamento di Portali Informativi
