
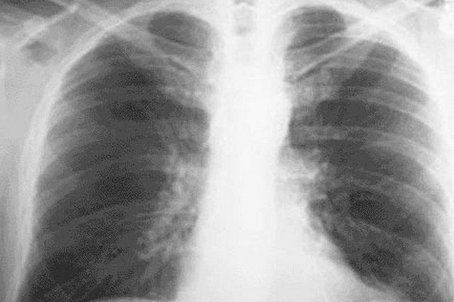
Un team di ricerca della Città della Salute e della Scienza di Torino - Ospedale Molinette ha dimostrato che attraverso un'ecografia ai polmoni (accompagnata da una visita medica) è possibile diagnosticare prima del tampone oro-rinofaringeo i casi di COVID-19 con polmonite. Test su 140 pazienti ha rilevato il 20 percento di positivi, risultati tutti negativi al primo tampone.
Continua a leggere
